Breast Cancer
At "Oncovision Cancer Clinic", we understand that a breast cancer diagnosis can be overwhelming. Our mission is to provide compassionate, advanced, and personalized care to help you through every step of your journey – from diagnosis to recovery.
Get in TouchWhat is Breast Cancer?
Breast cancer develops when abnormal cells in the breast grow uncontrollably and form a lump or tumor. It is one of the most common cancers among women, but with early detection and the right treatment, survival rates are significantly higher. Men can also develop breast cancer, though it is less common.
Soft Tissue Sarcoma
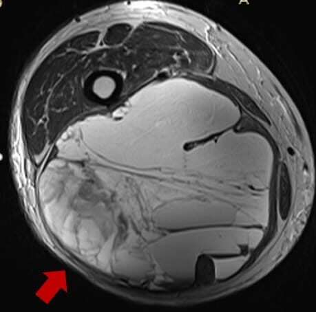
Soft tissue sarcoma is a rare type of cancer that develops in the connective tissues that support, surround, and protect the body's organs. These tissues include muscles, fat, nerves, tendons, blood vessels, and the lining of joints. Because soft tissue sarcomas can arise almost anywhere in the body, they often grow silently in the early stages, making early detection challenging.
This cancer typically appears as a painless lump, but as it grows, it may press on nearby nerves, organs, or muscles, causing discomfort or functional limitations. Soft tissue sarcomas include various subtypes such as liposarcoma, leiomyosarcoma, synovial sarcoma, and angiosarcoma—each with its own behavior, growth pattern, and treatment approach.
Diagnosis usually involves imaging tests like MRI or CT scans, followed by a biopsy to confirm the type of sarcoma. Treatment may include surgery, radiation therapy, chemotherapy, or advanced targeted therapies, depending on the tumor's size, location, and stage. With timely medical care from a multidisciplinary team, many patients achieve positive outcomes and improved quality of life.
Signs & Symptoms
Being aware of the warning signs can help in early detection. Common symptoms include:
If you notice any of these symptoms, consult a specialist immediately.
Diagnosis
At Oncovision, we use state-of-the-art diagnostic tools to ensure accurate detection:
Mammogram
X-ray of the breast
Ultrasound
Imaging to evaluate lumps
Biopsy
Tissue sample testing to confirm cancer
MRI
For detailed imaging and staging
Treatment Options
We provide comprehensive breast cancer treatment tailored to each patient's needs. Our expert team includes surgical, medical, and radiation oncologists who work together to create a personalized plan.
Surgery
- Lumpectomy: Removing the tumor while preserving the breast.
- Mastectomy: Removing one or both breasts depending on the extent of cancer.
Radiation Therapy
High-energy rays target and destroy cancer cells.
Chemotherapy
Drugs given orally or intravenously to kill cancer cells.
Hormone Therapy
Used for hormone receptor-positive breast cancers.
Targeted Therapy & Immunotherapy
Advanced treatments that specifically target cancer cells with fewer side effects.
Why Choose Oncovision Cancer Clinic?
Nationwide Network
Access expert oncologists across multiple states.
Multidisciplinary Team
Surgical, medical, and radiation oncologists under one roof.
Personalized Care
Tailored treatment plans for every patient.
Compassionate Support
Care coordinators and counseling to guide you throughout.
Advanced Technology
Cutting-edge diagnostic and treatment facilities.
Patient Stories
"Oncovision gave me hope when I was most afraid. The doctors explained every step and the care I received was world-class."
"The network helped me find the right doctor in my city without delays. The treatment was effective and the support team was very kind."
Get in Touch
If you or your loved one is facing breast cancer, remember – you are not alone. We are here to provide world-class care with compassion and expertise.
Call Us
+91 7234820789
Email Us
contact@oncovision.in
Chat with us
